missing translation for 'onlineSavingsMsg'
Learn More

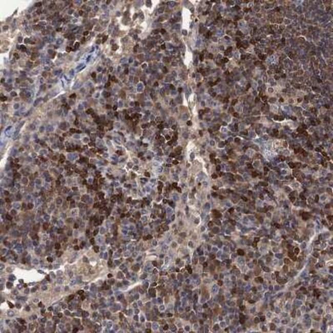
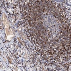
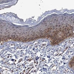
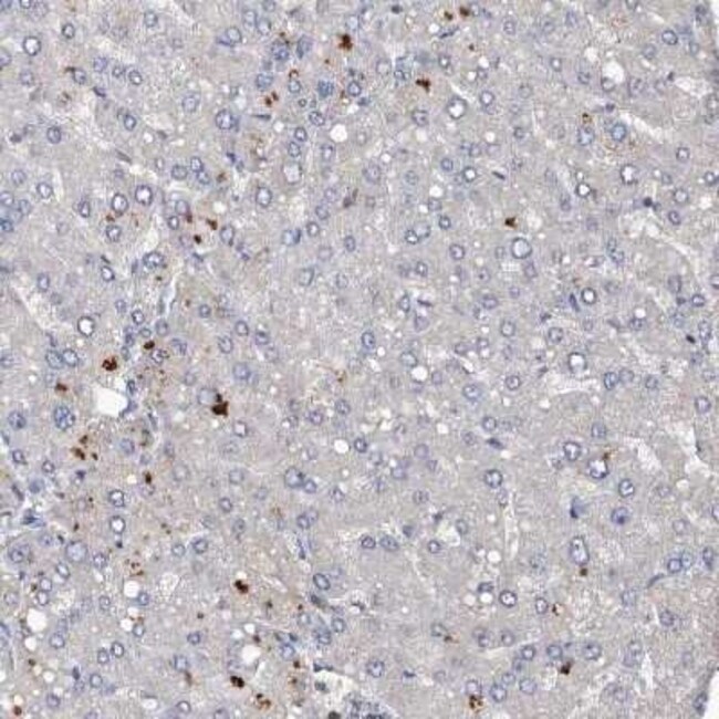
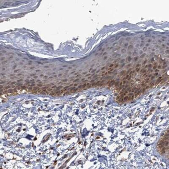
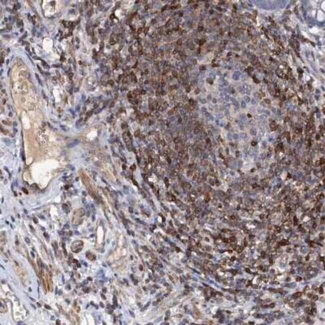
DGK-alpha Antibody, Novus Biologicals™

Artikelnummer. 18490692 Alle ansehen Bio Techne Produkte
Change view
Click to view available options
Menge:
0.1 mL
25 μL
Packungsgröße:
0.10 Milliliter
25 Mikroliter
2 product options available for selection
Product selection table with 2 available options. Use arrow keys to navigate and Enter or Space to select.
Artikelnummer. Menge unitSize
18490692 0.1 mL 0.10 Milliliter
18460082 25 μL 25 Mikroliter
Use arrow keys to navigate between rows. Press Enter or Space to select a product option. 2 options available.
2 options
Dieser Artikel kann nicht zurückgegeben werden. Rückgaberichtlinie anzeigen
Artikelnummer. 18490692 Lieferant Novus Biologicals Lieferanten-Nr. NBP213916

Bitte Sie sich an, um diesen Artikel zu kaufen. Sie benötigen ein Web-Konto? Registrieren Sie sich noch heute!

Dieser Artikel kann nicht zurückgegeben werden. Rückgaberichtlinie anzeigen

Rabbit Polyclonal Antibody

DGK-alpha Polyclonal antibody specifically detects DGK-alpha in Human samples. It is validated for Immunohistochemistry, Immunohistochemistry (Paraffin)
TRUSTED_SUSTAINABILITY

Spezifikation

Antigen DGK-alpha
Anwendungen Immunohistochemistry, Immunohistochemistry (Paraffin)
Klassifikation Polyclonal
Konjugat Unconjugated
Verdünnung Immunohistochemistry 1:50 - 1:200, Immunohistochemistry-Paraffin 1:50-1:200
Zusammensetzung PBS (pH 7.2) and 40% Glycerol
Gen-Alias DAG kinase alpha, DAGK, DAGK1diacylglycerol kinase, alpha (80kD), DGK-alphaEC 2.7.1.107, diacylglycerol kinase alpha, diacylglycerol kinase, alpha 80kDa, Diglyceride kinase alpha, MGC12821,80 kDa diacylglycerol kinase, MGC42356
Wirtsspezies Rabbit
Immunogen This antibody was developed against a recombinant protein corresponding to the amino acids: HCVWCHLEIHDDCLQAVGHECDCGLLRDHILPPSSIYPSVLASGPDRKNSKTSQKTMDDLNLSTSEALRIDPVPNTHP
Reinigungsverfahren Immunogen affinity purified
Menge 0.1 mL
Regulatorischer Status RUO
Forschungsgebiet Lipid and Metabolism
Primär oder sekundär Primary
Gen-ID (Entrez) 1606
Zielspezies Human
Inhalt und Lagerung Store at 4C short term. Aliquot and store at -20C long term. Avoid freeze-thaw cycles.
Form Purified
Isotype IgG
Mehr anzeigen Weniger anzeigen
Name des Produkts
Wählen Sie ein Thema

Indem Sie auf Absenden klicken, erklären Sie sich damit einverstanden, dass Fisher Scientific sich mit Ihnen in Verbindung setzen kann, um Ihr Feedback in diesem Formular zu bearbeiten. Wir werden Ihre Informationen nicht für andere Zwecke weitergeben. Alle bereitgestellten Kontaktinformationen werden in Übereinstimmung mit unserer Datenschutzrichtlinie aufbewahrt. Datenschutzrichtlinie.