missing translation for 'onlineSavingsMsg'
Learn More
Learn More
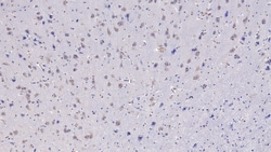
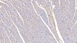
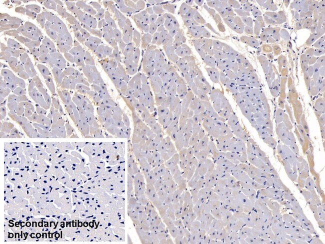
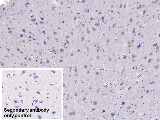
Invitrogen™ FSTL1 Monoclonal Antibody (C16), Invitrogen™

Beschreibung
Follistatin-like protein 1 (FSTL1) is a widely-expressed, extracellular glycoprotein that is homologously grouped into the osteonectin (BM-40/SPARC) family of secreted proteins based on its possession of both a follistatin-like and extracellular calcium-binding domain. Initially identified as a TGF-beta-inducible protein in a cloned mouse osteoblast cell line, FSTL1 has since been implicated in an array of cell-type-specific functions, such as the regulation of proliferation, differentiation, apoptosis and migration, as well as a number of biological processes, including embryonic development, inflammatory response, angiogenesis, tumorigenesis, and immune disease pathogenesis. Highly conserved across mammalian species and widely expressed in human tissues, FSTL1 can be upregulated through signaling mediators of the innate immune system,such as TLR4 agonists and the arthritogenic cytokine IL-1beta via NFkappaB pathways, to stimulate the expression and secretion of pro-inflammatory cytokines, including TNF-alpha, IL-1beta, IL-6 and IL-8. While cells of mesenchymal lineage are capable of FSTL1 production, FSTL1 expression is notably absent from cells of hematopoietic lineage under normal physiological conditions. Macrophages and monocytes are, however, capable of taking up FSTL1 at sites of inflammation where FSTL1 stimulation can cause the expression of caspase-1 and its resultant enzymatic cleavage of active IL-1beta from pro-IL-1beta. Whereas the overexpression of FSTL1 has been noted as a substantial contributor to the progression of immune diseases like rheumatoid arthritis (RA) and osteoarthritis (OA), diminished FSTL1 serum levels have been identified as playing a significant part in both ovarian and endometrial carcinogenesis, where it directly affects cell proliferation, migration and invasion.
Spezifikation
Spezifikation
| Antigen | FSTL1 |
| Anwendungen | Immunohistochemistry (Paraffin), Western Blot |
| Klassifikation | Monoclonal |
| Klon | C16 |
| Konzentration | 1 mg/mL |
| Konjugat | Unconjugated |
| Zusammensetzung | PBS with 50% glycerol and 0.05% Proclin 300; pH 7.4 |
| Gen | Fstl1 |
| Gen-Zugriffsnummer | Q12841 |
| Gen-Alias | AI316791; AW107808; FLJ50214; FLJ52277; follistatin like 1; follistatin-like 1; follistatin-like protein 1; Follistatin-related protein 1; FRP; FSL1; Fstl; FSTL1; MIR198; OCC1; OCC-1; TGF-beta-inducible protein TSC-36; tsc36; TSC-36 |
| Vis mere |
Produkttitel
Ved at klikke på Send, anerkender du, at du kan blive kontaktet af Fisher Scientific med hensyn til den feedback, du har givet i denne formular. Vi deler ikke dine oplysninger til andre formål. Alle angivne kontaktoplysninger skal også vedligeholdes i overensstemmelse med vores Privatlivspolitik.
Ser du en mulighed for forbedring?