missing translation for 'onlineSavingsMsg'
Learn More
Learn More
Beschreibung
Immunogen sequence: NQNVQHAGGQ GAGPPQNQMQ VSHGPPNMMQ PSLMGIHGNM NNQQAGTSGV PQVNLSNMQG QPQQGPPSQL MGMHQQIVPS QGQMVQQQGT LNPQNPMILS RAQLMPQGQM MVNPPSQNLG PSPQRMTPPK Q Highest antigen sequence identity to the following orthologs: Mouse - 94%, Rat - 92%.
Nuclear receptor coactivator that directly binds nuclear receptors and stimulates the transcriptional activities in a hormone-dependent fashion. Coactivates expression in an agonist- and AF2-dependent manner. Involved in the coactivation of different nuclear receptors, such as for steroids (GR and ERs), retinoids (RARs and RXRs), thyroid hormone (TRs), vitamin D3 (VDR) and prostanoids (PPARs). Probably functions as a general coactivator, rather than just a nuclear receptor coactivator. May also be involved in the coactivation of the NF-kappa-B pathway. May coactivate expression via a remodeling of chromatin and its interaction with histone acetyltransferase proteins.
Spezifikation
Spezifikation
| Antigen | NCOA6 |
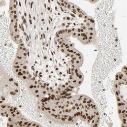
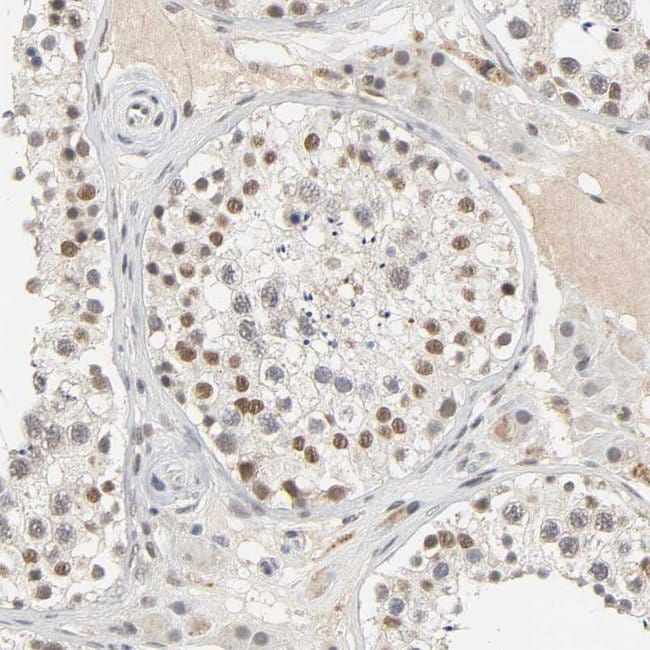
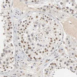
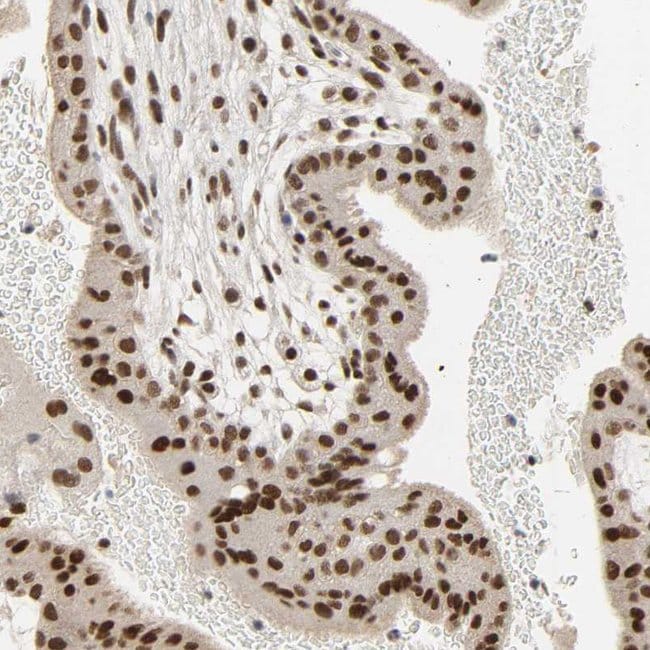
| Anwendungen | Immunohistochemistry (Paraffin), Immunocytochemistry |
| Klassifikation | Polyclonal |
| Konzentration | 0.1 mg/mL |
| Konjugat | Unconjugated |
| Zusammensetzung | PBS with 40% glycerol and 0.02% sodium azide; pH 7.2 |
| Gen | NCOA6 |
| Gen-Zugriffsnummer | Q14686 |
| Gen-Alias | activating signal cointegrator 2; activating signal cointegrator-2; AIB3; Amplified in breast cancer protein 3; amplified in breast cancer-3 protein; ASC2; ASC-2; Cancer-amplified transcriptional coactivator ASC-2; KIAA0181; mKIAA0181; NCOA6; Ncoa7; NRC; NRC RAP250; nuclear receptor coactivator 6; Nuclear receptor coactivator RAP250; nuclear receptor-activating protein 250; nuclear receptor-activating protein, 250 kDa; peroxisome proliferator-activated receptor interacting protein; peroxisome proliferator-activated receptor interacting protein,PRIP; peroxisome proliferator-activated receptor-interacting protein; PPAR interacting protein PRIP; PPAR-interacting protein; PRIP; RAP250; thyroid hormone receptor binding protein; thyroid hormone receptor-binding protein; TRBP |
| Gensymbole | NCOA6 |
| Mehr anzeigen |
Name des Produkts
Indem Sie auf Absenden klicken, erklären Sie sich damit einverstanden, dass Fisher Scientific sich mit Ihnen in Verbindung setzen kann, um Ihr Feedback in diesem Formular zu bearbeiten. Wir werden Ihre Informationen nicht für andere Zwecke weitergeben. Alle bereitgestellten Kontaktinformationen werden in Übereinstimmung mit unserer Datenschutzrichtlinie aufbewahrt. Datenschutzrichtlinie.
Haben Sie Verbesserungsvorschläge?
