missing translation for 'onlineSavingsMsg'
Learn More

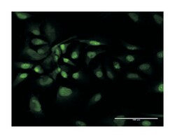
BCL2-associated athanogene, Rabbit, Purified MaxPab™ Polyclonal Antibody, Abnova™

Artikelnummer. 16185134
Change view
Click to view available options
Menge:
100 μg
Packungsgröße:
100 Mikrogramm
Artikelnummer. Menge unitSize
16185134 100 μg 100 Mikrogramm
1 options
Dieser Artikel kann nicht zurückgegeben werden. Rückgaberichtlinie anzeigen

Artikelnummer. 16185134

Marke: Abnova H00000573D01P.100ug

Bitte Sie sich an, um diesen Artikel zu kaufen. Sie benötigen ein Web-Konto? Registrieren Sie sich noch heute!

Dieser Artikel kann nicht zurückgegeben werden. Rückgaberichtlinie anzeigen

Rabbit polyclonal antibody raised against a full-length human BAG1 protein.

The oncogene BCL2 is a membrane protein that blocks a step in a pathway leading to apoptosis or programmed cell death. The protein encoded by this gene binds to BCL2 and is referred to as BCL2-associated athanogene. It enhances the anti-apoptotic effects of BCL2 and represents a link between growth factor receptors and anti-apoptotic mechanisms. At least three protein isoforms are encoded by this mRNA through the use of a non-AUG (CUG) start site, and alternative, downstream, AUG translation initiation sites. [provided by RefSeq

Sequence: MKKKTRRRSTRSEELTRSEELTLSEEATWSEEATQSEEATQGEEMNRSQEVTRDEESTRSEEVTREEMAAAGLTVTVTHSNEKHDLHVTSQQGSSEPVVQDLAQVVEEVIGVPQSFQKLIFKGKSLKEMETPLSALGIQDGCRVMLIGKKNSPQEEVELKKLKHLEKSVEKIADQLEELNKELTGIQQGFLPKDLQAEALCKLDRRVKATIEQFMKILEEIDTLILPENFKDSRLKRKGLVKKVQAFLAECDTVEQNICQETERLQSTNFALAE

Spezifikation

Antigen BCL2-associated athanogene
Anwendungen Immunofluorescence, Western Blot
Klassifikation Polyclonal
Konjugat Unconjugated
Beschreibung Rabbit polyclonal antibody raised against a full-length human BAG1 protein.
Zusammensetzung PBS with no preservative; pH 7.4
Gen BAG1
Gen-Zugriffsnummer ENST00000379704
Gen-Alias RAP46
Gensymbole BAG1
Wirtsspezies Rabbit
Immunogen BAG1 (ENSP00000369026, 1 a.a. ∼ 274 a.a) full-length human protein.
Reinigungsverfahren Affinity Purified
Menge 100 μg
Regulatorischer Status RUO
Forschungsgebiet Apoptosis
Primär oder sekundär Primary
Gen-ID (Entrez) 573
Zielspezies Human
Inhalt und Lagerung Store at -20°C or lower. Aliquot to avoid repeated freezing and thawing.
Produkttyp Antibody
Isotype IgG
Mehr anzeigen Weniger anzeigen
Name des Produkts
Wählen Sie ein Thema

Indem Sie auf Absenden klicken, erklären Sie sich damit einverstanden, dass Fisher Scientific sich mit Ihnen in Verbindung setzen kann, um Ihr Feedback in diesem Formular zu bearbeiten. Wir werden Ihre Informationen nicht für andere Zwecke weitergeben. Alle bereitgestellten Kontaktinformationen werden in Übereinstimmung mit unserer Datenschutzrichtlinie aufbewahrt. Datenschutzrichtlinie.