missing translation for 'onlineSavingsMsg'
Learn More
Learn More
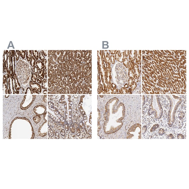
Invitrogen™ ATP Synthase beta Polyclonal Antibody

Beschreibung
Immunogen sequence: LTGLTVAEYF RDQEGQDVLL FIDNIFRFTQ AGSEVSALLG RIPSAVGYQP TLATDMGTMQ ERITTTKKGS ITSVQAIYVP ADDLTDPAPA TTFAHLDATT VLSRAIAELG IYPAVDPLDS TSRIMDPNIV GSEHYDVAR Highest antigen sequence indentity to the following orthologs: Rat - 100%, Mouse - 99%.
ATP synthase is extremely conserved through evolution and can be found in plants, fungi, bacteria, and animals. The ATP synthase enzyme is a transmembrane protein responsible for driving the reversible reaction from ADP+ phosphate to ATP. This reaction is accomplished by a flux of protons across the membrane as a result of electron transfer. The ATP synthase protein has two main sections; the F1 ATP-ase (soluble) and the F0 ATP-ase (membrane embedded). The F1 section consists of the alpha, beta, gamma, delta, and epsilon subunits. While the F0 consists of a, b, and c subunits.
Spezifikation
Spezifikation
| Antigen | ATP Synthase beta |
| Anwendungen | Immunohistochemistry (Paraffin), Western Blot, Immunocytochemistry |
| Klassifikation | Polyclonal |
| Konzentration | 0.1 mg/mL |
| Konjugat | Unconjugated |
| Zusammensetzung | PBS with 40% glycerol and 0.02% sodium azide; pH 7.2 |
| Gen | ATP5F1B |
| Gen-Zugriffsnummer | P06576, P10719, P56480 |
| Gen-Alias | ATP synthase F1 subunit beta; ATP synthase subunit beta, mitochondrial; ATP synthase, H+ transporting mitochondrial F1 complex, alpha subunit; ATP synthase, H+ transporting mitochondrial F1 complex, beta subunit; ATP synthase, H+ transporting, mitochondrial F1 complex, beta polypeptide; Atp5b; ATP5F1B; ATPMB; ATPSB; beta-subunit; epididymis secretory protein Li 271; f1-ATPase beta; F1-ATPase beta-subunit; F-1-ATPase beta-subunit precursor; fj13e04; fj55c09; HEL-S-271; hm:zehn0534; hypothetical protein LOC554135; im:6793121; MGC5231; mitochondrial ATP synthase beta subunit; mitochondrial ATP synthase subunit beta subunit; mitochondrial ATP synthase, H+ transporting F1 complex beta subunit; mitochondrial ATP synthetase, beta subunit; wu:fj13e04; wu:fj38d01; wu:fj55c09; zgc:111961 |
| Gensymbole | ATP5F1B |
| Mehr anzeigen |
Name des Produkts
Indem Sie auf Absenden klicken, erklären Sie sich damit einverstanden, dass Fisher Scientific sich mit Ihnen in Verbindung setzen kann, um Ihr Feedback in diesem Formular zu bearbeiten. Wir werden Ihre Informationen nicht für andere Zwecke weitergeben. Alle bereitgestellten Kontaktinformationen werden in Übereinstimmung mit unserer Datenschutzrichtlinie aufbewahrt. Datenschutzrichtlinie.
Haben Sie Verbesserungsvorschläge?