missing translation for 'onlineSavingsMsg'
Learn More
Learn More
Invitrogen™ BITE Polyclonal Antibody

Rabbit Polyclonal Antibody
Marke: Invitrogen™ PA557882
Dieser Artikel kann nicht zurückgegeben werden.
Rückgaberichtlinie anzeigen
Beschreibung
Immunogen sequence: KKAEDTEKKD EPSKYNQQQA LIDQRYFQVL CSINSIIHNP RAPVIIYKQT KGGVQNFNKD LVQDCGFEHL VPVIEMWADQ L Highest antigen sequence identity to the following orthologs: Mouse - 78%, Rat - 74%.
CEP70 plays a role in the organization of both preexisting and nascent microtubules in interphase cells. During mitosis, it is required for the organization and orientation of the mitotic spindle.
Spezifikation
| BITE | |
| Polyclonal | |
| Unconjugated | |
| CEP70 | |
| 6720484E09Rik; BITE; C030018L16Rik; centrosomal protein 70; centrosomal protein 70kDa; Centrosomal protein of 70 kDa; CEP70; I79_009119; p10-binding protein; testicular tissue protein Li 36 | |
| Rabbit | |
| Antigen affinity chromatography | |
| RUO | |
| 80321 | |
| Store at 4°C short term. For long term storage, store at -20°C, avoiding freeze/thaw cycles. | |
| Liquid |
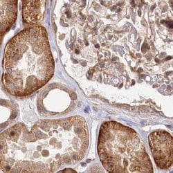
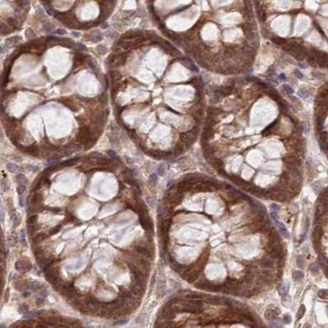
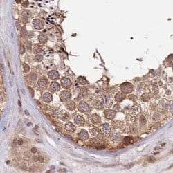
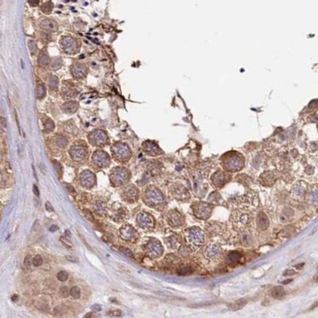
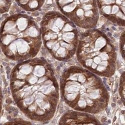
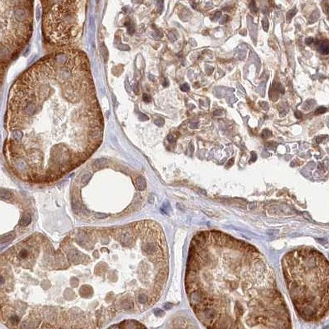
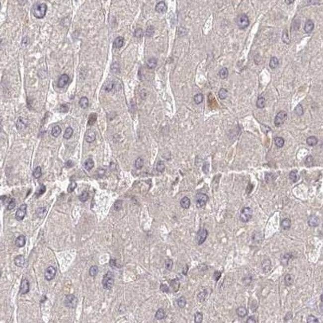
| Immunohistochemistry (Paraffin), Western Blot, Immunocytochemistry | |
| 0.2 mg/mL | |
| PBS with 40% glycerol and 0.02% sodium azide; pH 7.2 | |
| Q8NHQ1 | |
| CEP70 | |
| Recombinant protein corresponding to Human BITE. Recombinant protein control fragment (Product #RP-96281). | |
| 100 μL | |
| Primary | |
| Human | |
| Antibody | |
| IgG |
Berichtigung von Produktinhalten
Bitte geben Sie uns Ihr Feedback zu den Produktinhalten, indem Sie das folgende Formular ausfüllen.
Name des Produkts
Haben Sie Verbesserungsvorschläge?Übermitteln Sie eine inhaltliche Korrektur