missing translation for 'onlineSavingsMsg'
Learn More
Learn More
Invitrogen™ Caspase 1 (Cleaved Asp210) Polyclonal Antibody

Rabbit Polyclonal Antibody
Marke: Invitrogen™ PA538099
Dieser Artikel kann nicht zurückgegeben werden.
Rückgaberichtlinie anzeigen
Beschreibung
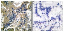
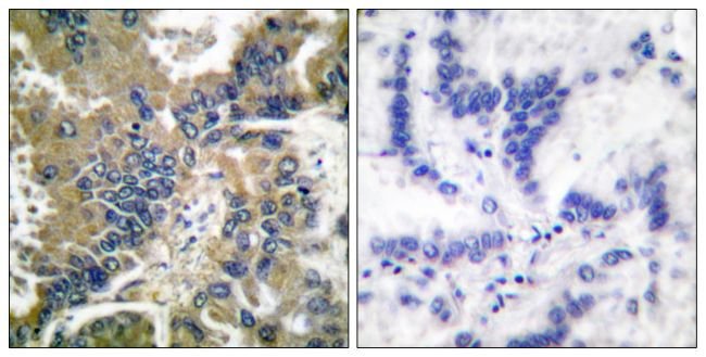
Caspase 1 (Cleaved Asp210) Polyclonal Antibody for IHC (P), Western Blot
Caspases are a family of cysteine proteases that are key mediators of programmed cell death or apoptosis (1). The precursor form of all caspases is composed of a prodomain, and large and small catalytic subunits. The active forms of caspases are generated by several stimuli including ligand-receptor interactions, growth factor deprivation and inhibitors of cellular functions. All known caspases require cleavage adjacent to aspartates to liberate one large and one small subunit, which associate into a tetramer to form the active enzyme. Caspase-1/ICE (IL-1b converting enzyme) is similar to the cell death gene CED-3 of Caenorhabditilis elegans and regulates multiple proinflammatory cytokines, including interleukin-1b and interferon-gamma-inducing factor.
Spezifikation
| Caspase 1 (Cleaved Asp210) | |
| Polyclonal | |
| Unconjugated | |
| CASP1 | |
| Casp1; CASP-1; CASP1 nirs variant 1; caspase 1; caspase 1, apoptosis-related cysteine peptidase (interleukin 1, beta, convertase); caspase-1; Caspase-1 subunit p10; Caspase-1 subunit p20; ICE; IL-1 beta converting enzyme; IL-1 beta-converting enzyme; IL-1B converting enzyme; Il1bc; IL-1BC; IL1BCE; IL1B-convertase; interleukin 1 beta-converting enzyme; interleukin 1, beta, convertase; interleukin 1-B converting enzyme; interleukin-1 beta convertase; interleukin-1 beta converting enzyme; Interleukin-1 beta-converting enzyme; P45 | |
| Rabbit | |
| Antigen affinity chromatography | |
| RUO | |
| 12362, 834 | |
| -20°C | |
| Liquid |
| Immunohistochemistry (Paraffin), Western Blot | |
| 1 mg/mL | |
| PBS with 50% glycerol and 0.02% sodium azide; pH 7.4 | |
| P29452, P29466 | |
| CASP1 | |
| A synthetic peptide derived from human Caspase 1. | |
| 100 μg | |
| Primary | |
| Human, Mouse | |
| Antibody | |
| IgG |
Berichtigung von Produktinhalten
Bitte geben Sie uns Ihr Feedback zu den Produktinhalten, indem Sie das folgende Formular ausfüllen.
Name des Produkts
Haben Sie Verbesserungsvorschläge?Übermitteln Sie eine inhaltliche Korrektur