missing translation for 'onlineSavingsMsg'
Learn More
Learn More
Invitrogen™ DLX3 Recombinant Rabbit Monoclonal Antibody (JE64-45)

Rabbit Recombinant Monoclonal Antibody
Marke: Invitrogen™ MA556559
Dieser Artikel kann nicht zurückgegeben werden.
Rückgaberichtlinie anzeigen
Beschreibung
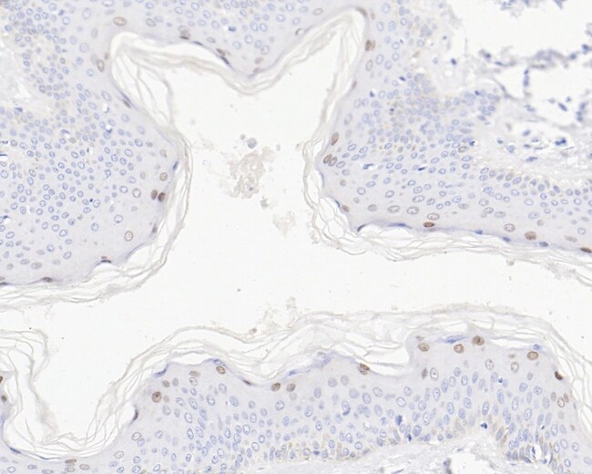
DLX3 Recombinant Monoclonal Antibody for Western Blot, ICC/IF, IHC (P), Flow
The distal-less homeobox 3 (DLX3) protein is a putative transcriptional activator that has been implicated during development and differentiation of epithelial tissues. This is a homeodomain transcription factor in vertebrates, related to Distal-less in Drosophila, which is expressed in differentiating epidermal cells, in neural crest, hair follicles, dental epithelium, mesenchyme, the optic and olfactory placodes, limb bud, placenta, and in the cement gland, which is located in the extreme anterior neural plate in Xenopus embryos.
Spezifikation
| DLX3 | |
| Recombinant Monoclonal | |
| 1 mg/mL | |
| TBS with 0.05% BSA, 40% glycerol and 0.05% sodium azide; pH 7.4 | |
| O60479 | |
| Dlx3 | |
| Synthetic peptide within human dlx3 aa 238-287/287. | |
| 100 μL | |
| Primary | |
| Human | |
| Antibody | |
| IgG |
| Flow Cytometry, Immunohistochemistry (Paraffin), Western Blot, Immunocytochemistry | |
| JE64-45 | |
| Unconjugated | |
| Dlx3 | |
| AI4; AV237891; DII C; distal-less homeobox 3; Dlx3; Dlx-3; Homeobox protein DLX-3; LOW QUALITY PROTEIN: homeobox protein DLX-3; TDO | |
| Rabbit | |
| Protein A | |
| RUO | |
| 1747 | |
| Store at 4°C short term. For long term storage, store at -20°C, avoiding freeze/thaw cycles. | |
| Liquid |
Berichtigung von Produktinhalten
Bitte geben Sie uns Ihr Feedback zu den Produktinhalten, indem Sie das folgende Formular ausfüllen.
Name des Produkts
Haben Sie Verbesserungsvorschläge?Übermitteln Sie eine inhaltliche Korrektur