missing translation for 'onlineSavingsMsg'
Learn More

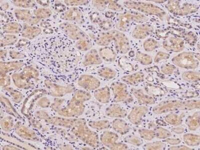
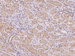
Acetoacetyl CoA synthetase Antibody, Novus Biologicals™

Artikelnummer. 18610405 Alle ansehen Bio Techne Produkte
Change view
Click to view available options
Menge:
100 μg
50 μg
Packungsgröße:
100 Mikroliter
50 Mikroliter
2 product options available for selection
Product selection table with 2 available options. Use arrow keys to navigate and Enter or Space to select.
Artikelnummer. Menge unitSize
18610405 50 μg 50 Mikroliter
18680762 100 μg 100 Mikroliter
Use arrow keys to navigate between rows. Press Enter or Space to select a product option. 2 options available.
2 options
Dieser Artikel kann nicht zurückgegeben werden. Rückgaberichtlinie anzeigen
Artikelnummer. 18610405 Lieferant Novus Biologicals Lieferanten-Nr. NBP29717450ul

Bitte Sie sich an, um diesen Artikel zu kaufen. Sie benötigen ein Web-Konto? Registrieren Sie sich noch heute!

Dieser Artikel kann nicht zurückgegeben werden. Rückgaberichtlinie anzeigen

Rabbit Polyclonal Antibody

Acetoacetyl CoA synthetase Polyclonal antibody specifically detects Acetoacetyl CoA synthetase in Human samples. It is validated for Immunocytochemistry/ Immunofluorescence, Immunohistochemistry (Paraffin)
TRUSTED_SUSTAINABILITY

Spezifikation

Antigen Acetoacetyl CoA synthetase
Anwendungen Immunofluorescence, Immunohistochemistry (Paraffin)
Klassifikation Polyclonal
Konjugat Unconjugated
Verdünnung Immunocytochemistry/ Immunofluorescence 1:100-1:500, Immunohistochemistry-Paraffin 1:50-1:200
Zusammensetzung PBS (pH 7.0)
Gen-Alias acetoacetate-CoA ligase, acetoacetyl-CoA synthetase, ACSF1FLJ41251, Acyl-CoA synthetase family member 1, EC 6.2.1, EC 6.2.1.16, FLJ12389, homolog of C. elegans supressor of ras 5 (sur-5), Protein sur-5 homolog, SUR-5
Wirtsspezies Rabbit
Immunogen Produced in rabbits immunized with E. coli-derived Human Acetoacetyl CoA synthetase fragment.
Reinigungsverfahren Antigen and protein A Affinity-purified
Menge 50 μg
Regulatorischer Status RUO
Primär oder sekundär Primary
Gen-ID (Entrez) 65985
Zielspezies Human
Inhalt und Lagerung Store at 4°C short term. Aliquot and store at -20°C long term. Avoid freeze-thaw cycles.
Form Purified
Isotype IgG
Mehr anzeigen Weniger anzeigen
Name des Produkts
Wählen Sie ein Thema

Indem Sie auf Absenden klicken, erklären Sie sich damit einverstanden, dass Fisher Scientific sich mit Ihnen in Verbindung setzen kann, um Ihr Feedback in diesem Formular zu bearbeiten. Wir werden Ihre Informationen nicht für andere Zwecke weitergeben. Alle bereitgestellten Kontaktinformationen werden in Übereinstimmung mit unserer Datenschutzrichtlinie aufbewahrt. Datenschutzrichtlinie.