missing translation for 'onlineSavingsMsg'
Learn More
Learn More
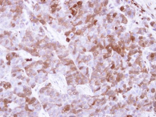
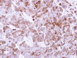
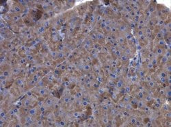
Invitrogen™ Factor XIII A Polyclonal Antibody

Beschreibung
Recommended positive controls: H1299. Predicted reactivity: Mouse (86%), Rat (84%), Bovine (86%). Store product as a concentrated solution. Centrifuge briefly prior to opening the vial.
This gene encodes the coagulation factor XIII A subunit. Coagulation factor XIII is the last zymogen to become activated in the blood coagulation cascade. Plasma factor XIII is a heterotetramer composed of 2 A subunits and 2 B subunits. The A subunits have catalytic function, and the B subunits do not have enzymatic activity and may serve as plasma carrier molecules. Platelet factor XIII is comprised only of 2 A subunits, which are identical to those of plasma origin. Upon cleavage of the activation peptide by thrombin and in the presence of calcium ion, the plasma factor XIII dissociates its B subunits and yields the same active enzyme, factor XIIIa, as platelet factor XIII. This enzyme acts as a transglutaminase to catalyze the formation of gamma-glutamyl-epsilon-lysine crosslinking between fibrin molecules, thus stabilizing the fibrin clot. It also crosslinks alpha-2-plasmin inhibitor, or fibronectin, to the alpha chains of fibrin. Factor XIII deficiency is classified into two categories: type I deficiency, characterized by the lack of both the A and B subunits; and type II deficiency, characterized by the lack of the A subunit alone. These defects can result in a lifelong bleeding tendency, defective wound healing, and habitual abortion.
Spezifikation
Spezifikation
| Antigen | Factor XIII A |
| Anwendungen | Immunohistochemistry (Paraffin), Western Blot, Immunocytochemistry |
| Klassifikation | Polyclonal |
| Konzentration | 1.97 mg/mL |
| Konjugat | Unconjugated |
| Zusammensetzung | PBS with 20% glycerol and 0.025% ProClin 300; pH 7 |
| Gen | F13A1 |
| Gen-Zugriffsnummer | P00488 |
| Gen-Alias | 1200014I03Rik; AI462306; bA525O21.1 (coagulation factor XIII, A1 polypeptide); coagulation factor XIII A chain; coagulation factor XIII, A polypeptide; coagulation factor XIII, A1 polypeptide; coagulation factor XIII, A1 subunit; coagulation factor XIII, alpha subunit; coagulation factor XIIIa; F13A; F13a1; factor viiia; Factor XIIIA; fibrin stabilizing factor, A subunit; fibrinoligase; FSF, A subunit; protein-glutamine gamma-glutamyltransferase A chain; RP11-232H4.1; TGase; transglutaminase A chain; transglutaminase. plasma |
| Gensymbole | F13A1 |
| Mehr anzeigen |
Name des Produkts
Indem Sie auf Absenden klicken, erklären Sie sich damit einverstanden, dass Fisher Scientific sich mit Ihnen in Verbindung setzen kann, um Ihr Feedback in diesem Formular zu bearbeiten. Wir werden Ihre Informationen nicht für andere Zwecke weitergeben. Alle bereitgestellten Kontaktinformationen werden in Übereinstimmung mit unserer Datenschutzrichtlinie aufbewahrt. Datenschutzrichtlinie.
Haben Sie Verbesserungsvorschläge?