missing translation for 'onlineSavingsMsg'
Learn More
Learn More
Invitrogen™ Histone H2B Recombinant Rabbit Monoclonal Antibody (SD20-63)

Rabbit Recombinant Monoclonal Antibody
Marke: Invitrogen™ MA542449
Dieser Artikel kann nicht zurückgegeben werden.
Rückgaberichtlinie anzeigen
Beschreibung
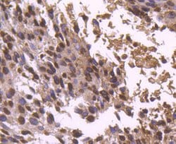
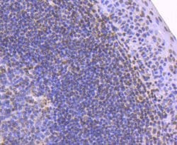
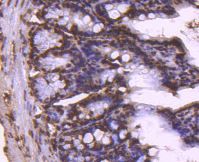
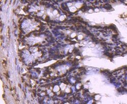
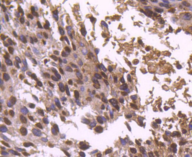
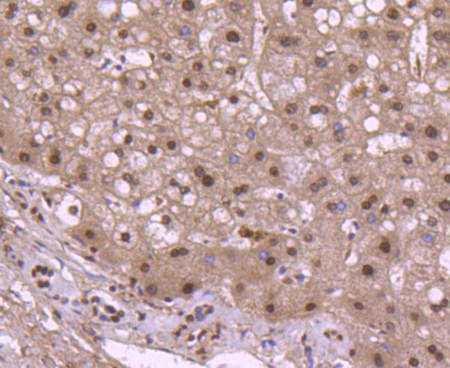
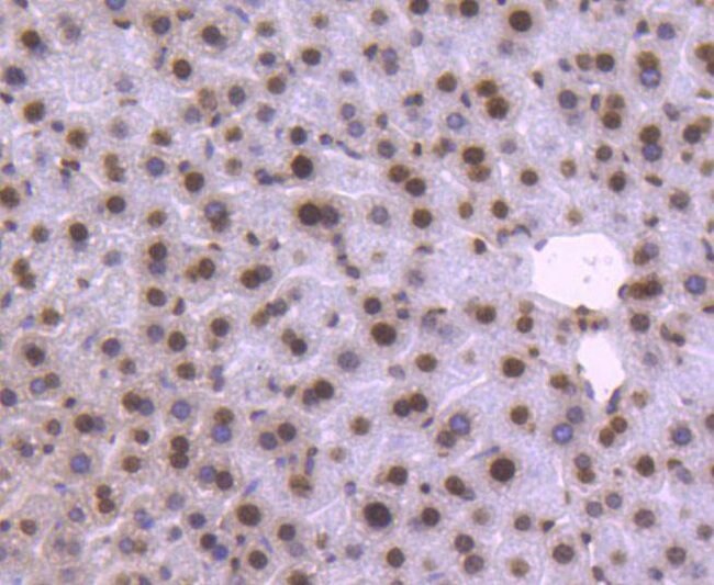
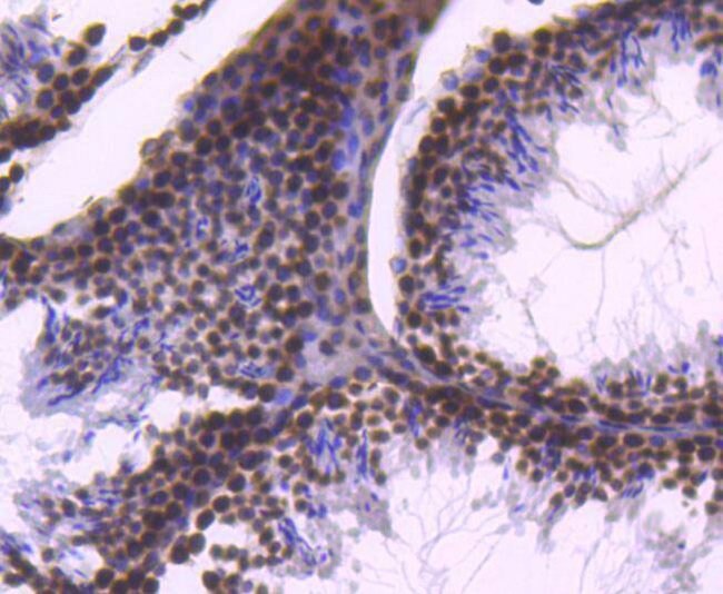
Positive Control: Hela cell lysate, PC-12 cell lysate, A431, human tonsil tissue, human liver tissue, mouse liver tissue, mouse testis tissue, mouse colon tissue, human breast carcinoma tissue, Hela. Subcellular Location: Nucleus, Chromosome.
Histones are basic nuclear proteins that are responsible for the nucleosome structure of the chromosomal fiber in eukaryotes. Nucleosomes consist of approximately 146 bp of DNA wrapped around a histone octamer composed of pairs of each of the four core histones (H2A, H2B, H3, and H4). The nucleosomes wrap further and compact DNA into chromotin, limiting DNA accessibility to the cellular machineries which require DNA as a template. Histones play a central role in transciption regulation, DNA repair, DNA replication, and chromosomal stability. H2B has a broad antibacterial activity.
Spezifikation
| Histone H2B | |
| Recombinant Monoclonal | |
| 1 mg/mL | |
| TBS with 0.05% BSA, 40% glycerol and 0.05% sodium azide; pH 7.4 | |
| A0A2R8Y619, O60814, P06899, P0C1H6, P10854, P23527, P33778, P57053, P58876, P62807, P70696, Q00729, Q16778, Q5QNW6, Q64475, Q64478, Q64524, Q6ZWY9, Q7Z2G1, Q8CGP1, Q8N257, Q93079, Q96A08, Q99877, Q99879, Q99880 | |
| H2B, H2bc1, H2BC10, H2BC11, H2BC12, H2BC13, H2BC14, H2BC15, H2BC17, H2bc18, H2BC21, H2BC3, H2BC4, H2BC5, H2BC8, H2BC9, H2BE1, H2BU1, H2BW1, H2BW2, HIST1H2BA, HIST1H2BD, HIST1H2BJ, HIST1H2BM, HIST1H2BO, LOC102724334 | |
| Synthetic peptide within human Histone H2B aa 110 to the C-terminus (acetyl K121). | |
| 100 μL | |
| Primary | |
| Human, Mouse, Rat | |
| Antibody | |
| IgG |
| ChIP Assay, Flow Cytometry, Immunohistochemistry (Paraffin), Immunoprecipitation, Western Blot, Immunocytochemistry | |
| SD20-63 | |
| Unconjugated | |
| H2BW2 | |
| 2610022J01Rik; Acetyl-Histone H2; AV127319; bA317E16.3; CG17949; CG17949-PA; CG33868; CG33868-PA; CG33870; CG33870-PA; CG33872; CG33872-PA; CG33874; CG33874-PA; CG33876; CG33876-PA; CG33878; CG33878-PA; CG33880; CG33880-PA; CG33882; CG33882-PA; CG33884; CG33884-PA; CG33886; CG33886-PA; CG33888; CG33888-PA; CG33890; CG33890-PA; CG33892; CG33892-PA; CG33894; CG33894-PA; CG33896; CG33896-PA; CG33898; CG33898-PA; CG33900; CG33900-PA; CG33902; CG33902-PA; CG33904; CG33904-PA; CG33906; CG33906-PA; CG33908; CG33908-PA; CG33910; CG33910-PA; dJ160A22.3; dJ193B12.2; dJ221C16.3; dJ221C16.6; dJ221C16.8; dJ97D16.4; Dmel\CG17949; Dmel\CG33868; Dmel\CG33870; Dmel\CG33872; Dmel\CG33874; Dmel\CG33876; Dmel\CG33878; Dmel\CG33880; Dmel\CG33882; Dmel\CG33884; Dmel\CG33886; Dmel\CG33888; Dmel\CG33890; Dmel\CG33892; Dmel\CG33894; Dmel\CG33896; Dmel\CG33898; Dmel\CG33900; Dmel\CG33902; Dmel\CG33904; Dmel\CG33906; Dmel\CG33908; Dmel\CG33910; Dmel_CG17949; Dmel_CG33868; Dmel_CG33870; Dmel_CG33872; Dmel_CG33874; Dmel_CG33876; Dmel_CG33878; Dmel_CG33880; Dmel_CG33882; Dmel_CG33884; Dmel_CG33886; Dmel_CG33888; Dmel_CG33890; Dmel_CG33892; Dmel_CG33894; Dmel_CG33896; Dmel_CG33898; Dmel_CG33900; Dmel_CG33902; Dmel_CG33904; Dmel_CG33906; Dmel_CG33908; Dmel_CG33910; fj05g08; GL105; H2B; H2B 291A; H2B 291B; H2b 613; H2B clustered histone 1; H2B clustered histone 15; H2B clustered histone 17; H2B clustered histone 19; H2B clustered histone 2, pseudogene; H2B clustered histone 21; H2B clustered histone 5; H2B clustered histone 8; H2B GL105 antibody; H2B histone family member M; H2B histone family member W testis-specific; H2B histone family member W, testis specific; H2B histone family, member A; H2B histone family, member B; H2B histone family, member C; H2B histone family, member D; H2B histone family, member E; H2B histone family, member F; H2B histone family, member J; H2B histone family, member K; H2B histone family, member L; H2B histone family, member M; H2B histone family, member N; H2B histone family, member Q; H2B histone family, member R; H2B histone family, member S; H2B histone family, member T; H2B histone family, member U, (testis-specific); H2B histone family, member W, testis-specific; H2B I; H2B II; H2B III; H2B IV; H2B K; H2B type 12; H2B VI; H2B VII; H2B.1; H2B.1 antibody; H2B.1A; H2B.1B; H2B.2; H2B.U histone 1; H2B.W histone 1; H2B/a; H2B/b; H2B/c; H2B/d; H2B/e; H2B/f; H2B/g; H2B/h; H2B/I; H2B/j; H2B/k; H2B/l; H2B/n; H2B/o; H2B/q; H2B/r; H2B/S; H2B/t; H2B1; H2B1.1; H2B1.2; h2B-143; H2B2; H2b-221; H2b-291b; H2b-613; H2Bb; H2BC1; H2BC10; H2BC15; H2BC17; H2BC19; H2BC21; H2BC2P; H2BC4; H2BC5; H2BC6; H2BC7; H2BC8; H2b-f; H2BFA; H2BFAiii; H2BFB; H2BFC; H2BFD; H2BFE; H2BFF; H2BFG; H2BFH; H2BFJ; H2BFK; H2BFL; H2BFM; H2BFN; H2BFO; H2BFQ; h2bfr; H2BFS; H2BFT; H2BFU; H2BFWT; H2BGL105; H2B-I; H2B-II; H2B-III; H2B-IV; H2BJ; H2b-j; H2BK; H2BK12ac; H2BK15ac; H2BK5ac; H2b-l; H2b-n; H2BQ; H2BS14; H2BS14p; H2BU1; H2B-VI; H2B-VII; H2BW1; HIRA-interacting protein 1; HIRA-interacting protein 2; HIRIP1; HIRIP2; His2B; His2B:CG17949; His2B:CG17949-PA; His2B:CG33868; His2B:CG33868-PA; His2B:CG33870; His2B:CG33870-PA; His2B:CG33872; His2B:CG33872-PA; His2B:CG33874; His2B:CG33874-PA; His2B:CG33876; His2B:CG33876-PA; His2B:CG33878; His2B:CG33878-PA; His2B:CG33880; His2B:CG33880-PA; His2B:CG33882; His2B:CG33882-PA; His2B:CG33884; His2B:CG33884-PA; His2B:CG33886; His2B:CG33886-PA; His2B:CG33888; His2B:CG33888-PA; His2B:CG33890; His2B:CG33890-PA; His2B:CG33892; His2B:CG33892-PA; His2B:CG33894; His2B:CG33894-PA; His2B:CG33896; His2B:CG33896-PA; His2B:CG33898; His2B:CG33898-PA; His2B:CG33900; His2B:CG33900-PA; His2B:CG33902; His2B:CG33902-PA; His2B:CG33904; His2B:CG33904-PA; His2B:CG33906; His2B:CG33906-PA; His2B:CG33908; His2B:CG33908-PA; His2B:CG33910; His2B:CG33910-PA; HIST1H2B7; HIST1H2B7L3; hist1h2ba; HIST1H2BB; HIST1H2BB antibody; Hist1h2bc; HIST1H2BD; HIST1H2BE; HIST1H2BF; HIST1H2BG; Hist1h2bh; HIST1H2BI; Hist1h2bj; hist1h2bj.L; hist1h2bj.S; HIST1H2BK; HIST1H2BL | |
| Rabbit | |
| Protein A | |
| RUO | |
| 102724334, 114483833, 128312, 158983, 24829, 255626, 286436, 291157, 3017, 3018, 319177, 319178, 319181, 319182, 319183, 319184, 319186, 319190, 361247, 440689, 68024, 680312, 691488, 8339, 8340, 8341, 8342, 8345, 8346, 8347, 8348, 8349, 85236, 8970 | |
| Store at 4°C short term. For long term storage, store at -20°C, avoiding freeze/thaw cycles. | |
| Liquid |
Berichtigung von Produktinhalten
Bitte geben Sie uns Ihr Feedback zu den Produktinhalten, indem Sie das folgende Formular ausfüllen.
Name des Produkts
Haben Sie Verbesserungsvorschläge?Übermitteln Sie eine inhaltliche Korrektur