missing translation for 'onlineSavingsMsg'
Learn More
Learn More
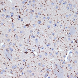
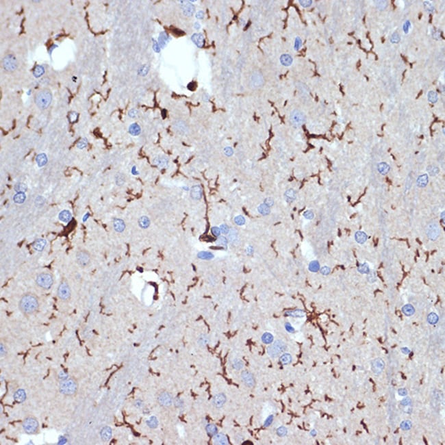
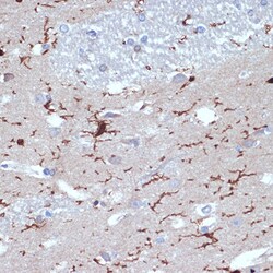
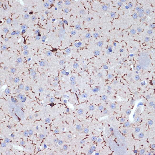
Invitrogen™ IBA1 Recombinant Rabbit Monoclonal Antibody (6X3D0)

Rabbit Recombinant Monoclonal Antibody
Marke: Invitrogen™ MA537992
Les retours ne sont pas autorisés pour ce produit.
Afficher la politique du retour.
Description
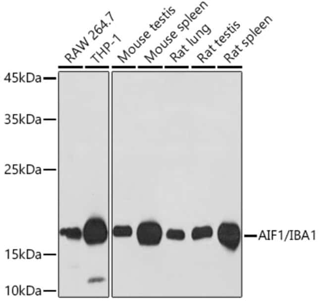
Positive Samples: RAW264.7, THP-1, Mouse testis, Mouse spleen, Rat lung, Rat testis, Rat spleen Immunogen sequence: MSQSRDLQGG KAFGLLKAQQ EERLEGINKQ FLDDPKYSND EDLPSKLEAF KVKYMEFDLN GNGDIDIMSL KRMLEKLGVP KTHLELKRLI REVSSGSEET.
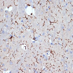
Ionized calcium-binding adapter molecule 1 (IBA1), also known by its gene name AIF1, is a protein expressed predominantly by microglia in the brain and spinal cord. This protein belongs to the EF-hand calcium-binding protein family and plays a crucial role in microglial activation and migration in response to brain injury or neuroinflammation. IBA1's function is integral to microglial motility and phagocytic activity, facilitating the cellular response to pathogenic stimuli and promoting tissue homeostasis and repair in the central nervous system. IBA1 serves as a reliable marker for activated microglia in various neurological disorders, including Alzheimer's disease, Parkinson's disease, and multiple sclerosis, where increased expression correlates with disease progression and severity. The protein's structural features enable it to bind calcium ions, inducing conformational changes that activate signaling pathways essential for microglial function. Its expression is highly regulated by inflammatory cytokines, underpinning its role in neuroimmune responses. Due to its specific expression in microglia during pathological conditions, IBA1 is widely used in research as a marker to study microglial status and activity, and it remains a focal point for understanding microglial involvement in neurodegenerative diseases.
Spécification
| IBA1 | |
| Recombinant Monoclonal | |
| 0.65 mg/mL | |
| PBS with 0.05% BSA, 50% glycerol and 0.09% sodium azide; pH 7.3 | |
| O70200, P55008, P55009 | |
| AIF1 | |
| A synthetic peptide corresponding to a sequence within amino acids 1-100 of mouse AIF1/IBA1 (O70200). | |
| 100 μL | |
| Primary | |
| Human, Mouse, Rat | |
| Antibody | |
| IgG |
| ELISA, Immunohistochemistry (Paraffin), Western Blot, Immunocytochemistry | |
| 6X3D0 | |
| Unconjugated | |
| AIF1 | |
| AI607846; AIF1; AIF-1; Allograft inflammatory factor 1; balloon angioplasty responsive transcript; balloon angioplasty-responsive transcript 1; Bart1; BART-1; D17H6S50E; DADB-70P7.8; DASS-82G15.2; Em:AF129756.17; G1; Iba; Iba1; interferon gamma responsive transcript; ionized calcium binding adapter molecule 1; ionized calcium-binding adapter molecule 1; IRT1; IRT-1; microglia response factor; Mrf1; MRF-1; protein BART-1; protein G1; testis specific | |
| Rabbit | |
| Affinity chromatography | |
| RUO | |
| 11629, 199, 29427 | |
| -20°C, Avoid Freeze/Thaw Cycles | |
| Liquid |
Correction du contenu d'un produit
Veuillez fournir vos retours sur le contenu du produit en remplissant le formulaire ci-dessous.
Nom du produit
Vous avez repéré une opportunité d'amélioration ?Partager une correction de contenu