Learn More
Invitrogen™ IGF2BP3 Polyclonal Antibody

Rabbit Polyclonal Antibody
Marke: Invitrogen™ PA5120830
Beschreibung
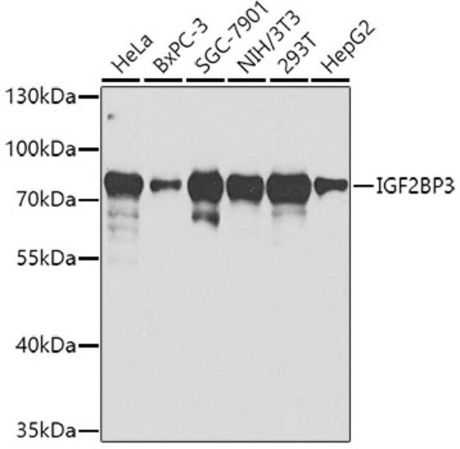
Positive test controls include: HeLa, BxPC-3, SGC-7901, NIH/3T3, 293T, HepG2. The target is usually found in the following locations: Cytoplasm, Nucleus. Immunogen sequence: MNKLYIGNLS ENAAPSDLES IFKDAKIPVS GPFLVKTGYA FVDCPDESWA LKAIEALSGK IELHGKPIEV EHSVPKRQRI RKLQIRNIPP HLQWEVLDSL LVQYGVVESC EQVNTDSETA VVNVTYSSKD QARQALDKLN GFQLENFTLK VAYIPDEMAA QQNPLQQPRG RRGLGQRGSS RQGSPGSVSK QKPCDLPLRL.
Insulin-like growth factor-II messenger RNA (mRNA)-binding protein-3 (IMP-3), also known as K homology domain-containing protein overexpressed in cancer (KOC) and L523S, is a member of the insulin-like growth factor-II mRNA-binding protein family and is expressed during embryogenesis and in some malignancies. IMP-3 is expressed in malignant melanoma but not in benign nevi, even when dysplastic features are present; IMP-3 is expressed in a significantly higher proportion of melanomas than Spitz nevi; and IMP-3 is expressed in metastatic melanomas significantly more than in thin melanomas. IMP-3 appears to be involved in the progression of malignant melanoma and may play an important role in the regulation of the biologic behavior of this tumor.
Spezifikation
| IGF2BP3 | |
| Polyclonal | |
| Unconjugated | |
| IGF2BP3 | |
| 2610101N11Rik; AA522010; Ab2-255; AL022933; AU045931; cancer/testis antigen 98; CT98; hKOC; IGF2 mRNA-binding protein 3; IGF2BP3; IGF-II mRNA-binding protein 3; IMP3; IMP-3; insulin like growth factor 2 mRNA binding protein 3; insulin-l; insulin-like growth factor 2 mRNA binding protein 3; insulin-like growth factor 2 mRNA-binding protein 3; insulin-like growth factor 2, binding protein 3; KH domain containing protein overexpressed in cancer; KH domain-containing protein overexpressed in cancer; KOC; KOC1; Koc13; mimp3; mIMP-3; Neilsen; RGD1306512; VICKZ family member 3; Vickz3 | |
| Rabbit | |
| Affinity Chromatography | |
| RUO | |
| 10643, 140488, 312320 | |
| -20°C, Avoid Freeze/Thaw Cycles | |
| Liquid |
| ELISA, Western Blot | |
| 1.25 mg/mL | |
| PBS with 50% glycerol and 0.02% sodium azide; pH 7.3 | |
| O00425, Q9CPN8 | |
| IGF2BP3 | |
| Recombinant fusion protein containing a sequence corresponding to amino acids 1-200 of human IGF2BP3 (NP_006538.2). | |
| 100 μL | |
| Primary | |
| Human, Mouse, Rat | |
| Antibody | |
| IgG |
Bitte geben Sie uns Ihr Feedback zu den Produktinhalten, indem Sie das folgende Formular ausfüllen.