Learn More
Invitrogen™ Laminin gamma-2 Recombinant Rabbit Monoclonal Antibody (PSH07-27)

Rabbit Recombinant Monoclonal Antibody
Marke: Invitrogen™ MA560183
Beschreibung
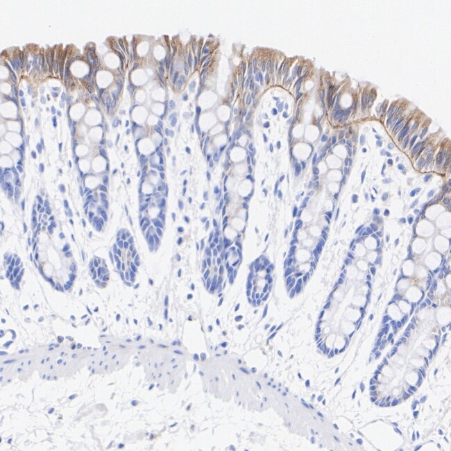
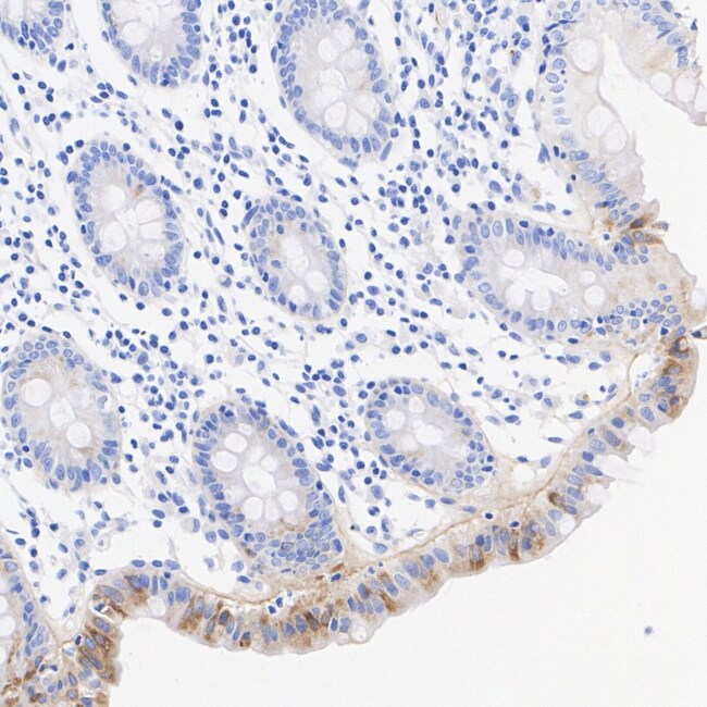
Positive Control: A431 cell lysate, A549 cell lysate, HaCaT cell lysate, NCI-H441 cell lysate, Mouse skin tissue lysate, Mouse stomach tissue lysate, Rat skin tissue lysate, Rat stomach tissue lysate, human colon tissue, mouse colon tissue, rat colon tissue, A431. Tissue Specificity: Tissue enhanced (urinary). Subcellular Location: Secreted, extracellular space, extracellular matrix, basement membrane. Sequence Similarities: 78% Mouse/Rat. Predicted band size: 131 kDa.
Laminins, a family of extracellular matrix glycoproteins, are the major noncollagenous constituent of basement membranes. They have been implicated in a wide variety of biological processes including cell adhesion, differentiation, migration, signaling, neurite outgrowth and metastasis. Laminins are composed of 3 non identical chains: laminin alpha, beta and gamma (formerly A, B1, and B2, respectively) and they form a cruciform structure consisting of 3 short arms, each formed by a different chain, and a long arm composed of all 3 chains. Each laminin chain is a multidomain protein encoded by a distinct gene. Several isoforms of each chain have been described. Different alpha, beta and gamma chain isomers combine to give rise to different heterotrimeric laminin isoforms which are designated by Arabic numerals in the order of their discovery, i.e. alpha1beta1gamma1 heterotrimer is laminin 1. The biological functions of the different chains and trimer molecules are largely unknown, but some of the chains have been shown to differ with respect to their tissue distribution, presumably reflecting diverse functions in vivo. This gene encodes the gamma chain isoform laminin, gamma 2. The gamma 2 chain, formerly thought to be a truncated version of beta chain (B2t), is highly homologous to the gamma 1 chain; however, it lacks domain VI, and domains V, IV and III are shorter. It is expressed in several fetal tissues but differently from gamma 1, and is specifically localized to epithelial cells in skin, lung and kidney. The gamma 2 chain together with alpha 3 and beta 3 chains constitute laminin 5 (earlier known as kalinin), which is an integral part of the anchoring filaments that connect epithelial cells to the underlying basement membrane. The epithelium-specific expression of the gamma 2 chain implied its role as an epithelium attachment molecule, and mutations in this gene have been associated with junctional epidermolysis bullosa, a skin disease characterized by blisters due to disruption of the epidermal-dermal junction. Two transcript variants resulting from alternative splicing of the 3' terminal exon, and encoding different isoforms of gamma 2 chain, have been described. The two variants are differentially expressed in embryonic tissues, however, the biological significance of the two forms is not known. Transcript variants utilizing alternative polyA_signal have also been noted in literature.
Spezifikation
| Laminin gamma-2 | |
| Recombinant Monoclonal | |
| 1 mg/mL | |
| PBS with 0.1% BSA, 40% glycerol and 0.05% sodium azide; pH 7.4 | |
| Q13753, Q61092 | |
| Lamc2 | |
| Recombinant protein within human LAMC2 aa 550-1,193. | |
| 100 μL | |
| Primary | |
| Human, Mouse, Rat | |
| Antibody | |
| IgG |
| Flow Cytometry, Immunohistochemistry (Paraffin), Western Blot, Immunocytochemistry | |
| PSH07-27 | |
| Unconjugated | |
| Lamc2 | |
| AA589349; alternatively spliced laminin gamma2 chain; B2T; BM600; BM600-100kDa; cell-scattering factor 140 kDa subunit; CSF; CSF 140 kDa subunit; EBR2; EBR2A; Epiligrin subunit gamma; kalinin subunit gamma; Kalinin/nicein/epiligrin 100 kDa subunit; ladsin 140 kDa subunit; LAM LAMNB2; LAMB2T; LAMC2; lamimin, gamma 2; laminin B2t chain; laminin gamma2 chain; laminin subunit gamma 2; laminin subunit gamma-2; laminin, gamma 2; laminin-5 subunit gamma; LAMNB2; Large adhesive scatter factor 140 kDa subunit; nicein subunit gamma; nicein, 100kD; nicein, 100kDa | |
| Rabbit | |
| Protein A | |
| RUO | |
| 16782, 192362, 3918 | |
| Store at 4°C short term. For long term storage, store at -20°C, avoiding freeze/thaw cycles. | |
| Liquid |
Bitte geben Sie uns Ihr Feedback zu den Produktinhalten, indem Sie das folgende Formular ausfüllen.