Learn More
Invitrogen™ Protein C Recombinant Rabbit Monoclonal Antibody (JM93-61)

Rabbit Recombinant Monoclonal Antibody
Marke: Invitrogen™ MA532737
Beschreibung
Recombinant rabbit monoclonal antibodies are produced using in vitro expression systems. The expression systems are developed by cloning in the specific antibody DNA sequences from immunoreactive rabbits. Then, individual clones are screened to select the best candidates for production. The advantages of using recombinant rabbit monoclonal antibodies include: better specificity and sensitivity, lot-to-lot consistency, animal origin-free formulations, and broader immunoreactivity to diverse targets due to larger rabbit immune repertoire.
Protein C is a vitamin K-dependent plasma glycoprotein that is cleaved to its activated form by the thrombin-thrombomodulin complex. Protein C in its activated form contains a serine protease domain and functions in degradation of the activated forms of coagulation factors V and VIII. Protein C is a vitamin K-dependent serine protease produced in the liver and made up of 2 polypeptide chains. The 62 kDa proenzyme is activated by thrombin bound to an endothelial surface receptor and the active enzyme cleaves factor Va and VIIIa and thus inhibits blood coagulation. The molecular weight of the active enzyme is 55 kDa and the normal concentrations in human plasma is approximately 1-3 ng/mL because of the very fast turnover, the proenzyme concentration is approximately 3 μg/mL. Mutations in the Protein C gene have been associated with thrombophilia due to protein C deficiency, neonatal purpura fulminans, and recurrent venous thrombosis.
Spezifikation
| Protein C | |
| Recombinant Monoclonal | |
| 1 mg/mL | |
| TBS with 0.05% BSA, 40% Glycerol and 0.05% sodium azide; pH 7.4 | |
| P04070 | |
| PROC | |
| Recombinant protein within Human Protein C aa 290-380. | |
| 100 μL | |
| Primary | |
| Human | |
| Antibody | |
| IgG |
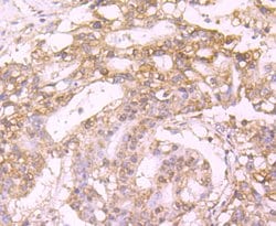
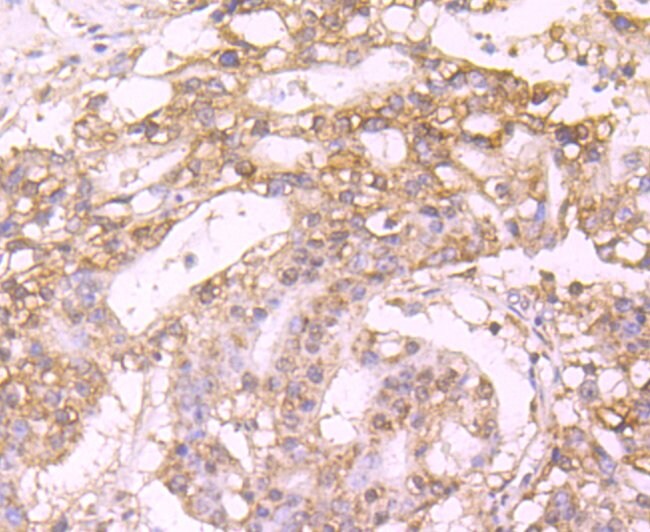
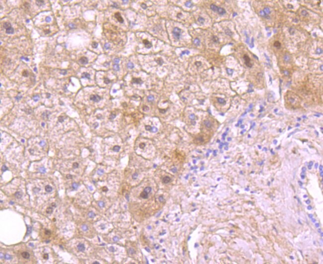
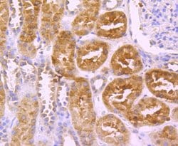
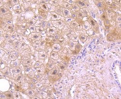
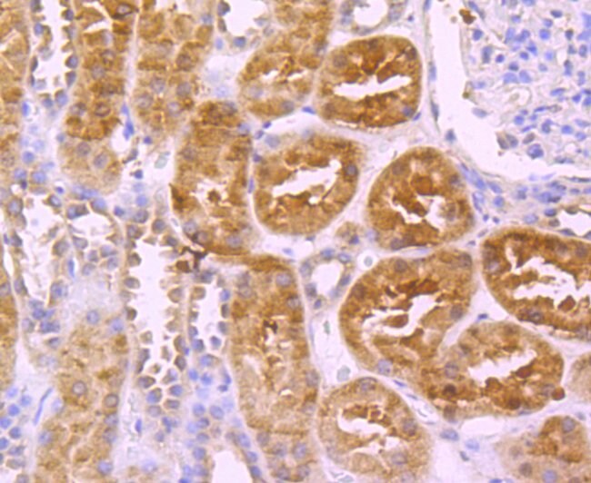
| Immunohistochemistry (Paraffin), Western Blot, Immunocytochemistry, Western Blot | |
| JM93-61 | |
| Unconjugated | |
| PROC | |
| Activation peptide; Anticoagulant protein C; APC; autoprothrombin IIA; Blood coagulation factor XIV; EDQVDPRLIDGK; inactivator of coagulation factors Va, VIII; PC; prepro-protein C; Proc; PROC1; protein C; protein C (inactivator of coagulation factors Va and VIIIa); protein C prepropeptide; protein C, inactivator of coagulation factors Va and VIIIa; THPH3; THPH4; type I protein C; vitamin K-dependent protein C; Vitamin K-dependent protein C heavy chain; Vitamin K-dependent protein C light chain | |
| Rabbit | |
| Protein A | |
| RUO | |
| 5624 | |
| Store at 4°C short term. For long term storage, store at -20°C, avoiding freeze/thaw cycles. | |
| Liquid |
Bitte geben Sie uns Ihr Feedback zu den Produktinhalten, indem Sie das folgende Formular ausfüllen.