missing translation for 'onlineSavingsMsg'
Learn More

ATF4 Rabbit anti-Human, Polyclonal Antibody, Abnova™

Rabbit polyclonal antibody raised against synthetic peptide of ATF4.

Marke:  Abnova PAB26640.100ug

Artikelnummer. 16086807

  • 388.00 € / 100 Mikrogramm

om dit product te kopen Registreer vandaag om een webaccount aan te maken

Dieser Artikel kann nicht zurückgegeben werden. Rückgaberichtlinie anzeigen

Beschreibung

Beschreibung

This gene encodes a transcription factor that was originally identified as a widely expressed mammalian DNA binding protein that could bind a tax-responsive enhancer element in the LTR of HTLV-1. The encoded protein was also isolated and characterized as the cAMP-response element binding protein 2 (CREB-2). The protein encoded by this gene belongs to a family of DNA-binding proteins that includes the AP-1 family of transcription factors, cAMP-response element binding proteins (CREBs) and CREB-like proteins. These transcription factors share a leucine zipper region that is involved in protein-protein interactions, located C-terminal to a stretch of basic amino acids that functions as a DNA binding domain. Two alternative transcripts encoding the same protein have been described. Two pseudogenes are located on the X chromsome at q28 in a region containing a large inverted duplication. [provided by RefSeq

Sequence: N-R-Sp-L-P
Spezifikation

Spezifikation

ATF4
Polyclonal
Unconjugated
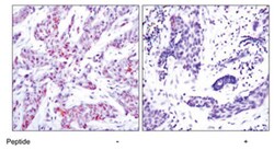
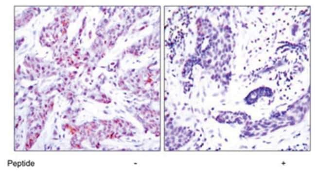
Immunohistochemistry (1:50-1:100) The optimal working dilution should be determined by the end user.
ATF4
CREB-2/CREB2/TAXREB67/TXREB
Rabbit
Affinity chromatography
RUO
468
Store at -20°C.
Aliquot to avoid repeated freezing and thawing.
Immunohistochemistry (PFA fixed)
1 mg/mL
Rabbit polyclonal antibody raised against synthetic peptide of ATF4.
In PBS (without mg2+ and Ca2+), 150mM NaCl, pH 7.4 (50% glycerol, 0.02% sodium azide)
P18848
ATF4
A synthetic peptide corresponding to residues surrounding S245 of human ATF4.
100 μg
Primary
Human
Liquid
Produktvorschläge

Produktvorschläge

Videos
Sicherheitsdatenblatt (SDS)
Dokumentation

Dokumentation

Zertifikate
Aktionen

Aktionen

Berichtigung von Produktinhalten

Bitte geben Sie uns Ihr Feedback zu den Produktinhalten, indem Sie das folgende Formular ausfüllen.

Name des Produkts

Indem Sie auf Absenden klicken, erklären Sie sich damit einverstanden, dass Fisher Scientific sich mit Ihnen in Verbindung setzen kann, um Ihr Feedback in diesem Formular zu bearbeiten. Wir werden Ihre Informationen nicht für andere Zwecke weitergeben. Alle bereitgestellten Kontaktinformationen werden in Übereinstimmung mit unserer Datenschutzrichtlinie aufbewahrt. Datenschutzrichtlinie.

Vielen Dank, dass Sie uns helfen, unsere Website zu verbessern. Ihr Feedback wurde übermittelt

For Research Use Only